New Member of the European Academy of Sciences
I am delighted to announce my election to the European Academy of Sciences. I was elected for my work on...
Read More
Let’s save Lebanon from the massacres and sign the petition calling for a complete halt to all trade with Israel!
The success of the petition against the Yadan Law demonstrates the power of citizen protests and reminds us that we...
Read More
Better than Schrödinger, Trump!
You all remember the Schrödinger paradox of a cat who is simultaneously dead and alive. This one of the greatest...
Read More
The Yadan Law: Politicians Are Backing Down, Leaving the European Union and Its Immoral Agreement with Israel
With over 600,000 signatures, the Yadan Law—this nefarious bill that would label any protester opposing the massacres in Gaza and...
Read More
Lecture at the Academy of Medicine in Paris on April 14
I am delighted to give a lecture at the Academy of Medicine at the invitation of Professors Jean-Louis Guéant and...
Read More
The Yadan bill will be debated in the National Assembly on April 16: it must be stopped!
Just imagine: you take to the streets to protest for Tibet, Cambodia, or the massacre in Sudan—no problem, freedom of...
Read More
World Autism Awareness Day, major breakthroughsare towards a predictive and personalized medicine.
Detecting autism at birth and identifying children likely to respond to treatment: long out of reach, these prospects are becoming...
Read More
Naive, certainly, but beautiful nonetheless
The flotillas to Gaza have all ended the same way: an invasion by Israeli soldiers, with the participants detained until...
Read More
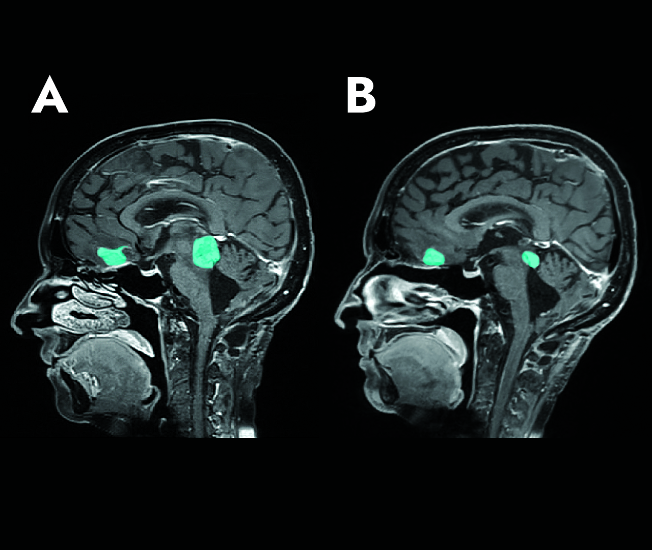
A first in autism: artificial intelligence helps identify children for whom bumetanide could be considered as a treatment
While there is still no approved drug treatment to reduce the main symptoms of autism, a study published in the journal...
Read More
Bibi Netanyahu will go down in history as the greatest war criminal of the early 21st century
To all the unwavering supporters of Israel, no matter what happens and no matter what Netanyahu and his clique do,...
Read More
Journalists in Israel who say out loud what we are forbidden to say here
In France, as in Great Britain and Germany, any criticism of Israel is considered anti-Semitism, a racist aberration that can...
Read More
Trump et al: when humour becomes the only way to understand reality
The technique of bombarding the world with fake news nonstop (in addition to bombs in Iran) is profitable. We can...
Read More
“You can do anything with bayonets except sit on them” message to Bibi/Trump
This phrase is generally attributed to Prince Charles, Maurice de Talleyrand-Périgord. He was a unique figure in French political history,...
Read More
A little light in the darkness: Lea Ypi’s lecture at the Collège de France
Today, moments of pleasure are rare, with the media owned by those who are hostile to democracies and forget the...
Read More
GAZA: Please, a little humanity and a little less blindness
No sensible person with any sense of honesty can ignore the evidence that proves beyond a shadow of a doubt...
Read More




